高端牙科诊所 | 小朋友牙齿拥挤一定要等到牙齿换完才能矫正吗?
2025-01-15
以往大家的传统观念均是需要等待恒牙全部换齐才能矫齿,即约在12岁左右的时候或骨骼生定才开始,但近年来更多家长留意到在7岁换牙期开始,虽然并不是每个小朋友都需要进行早期矫齿疗程,但根据国际牙科矫正学会的指引,高端牙科诊所建议小朋友应在7岁时向专业的牙医进行初步的矫齿评估,以检查他们有没早期治疗的需要。

现今众多的研究显示儿童在恒牙未换齐之前的早期干预矫齿黄金期,可充分利用他们颚骨生长发育的潜力,来改善多种牙齿的问题。
高端牙科诊所本次主要讲到的是牙齿拥挤与空间不足。现今社会因为饮食习惯,食物过度精细以及喂养的习惯,造成很多小朋友其实没有遗传因素,但是造成了牙列拥挤的问题。第一阶段的早期矫齿属预防性治疗,其效果可改善前牙的排列,同时引导日后恒牙生长于适当的空间,尽量避免将来需要进行复杂的牙科疗程的可能性。简单来说,就是降低日后需要拔牙矫正的风险,把原本复杂与麻烦的变成相对简单。避免日后变得越来越严重,有些情况在小朋友长大后更难去改善。
在混合牙齿时期接受首阶段治疗的儿童,因为牙弓弧度及空间都预留好给之后长出来的牙齿,之后换的牙会排列得较好,有很大的概率不需要做第二次疗程;或者有些情况是早期疗程首先处理好前牙最大的问题,换牙后即使需要做第二次疗程,疗程复杂程度已大大降低,或者减少需要拔牙的机会。
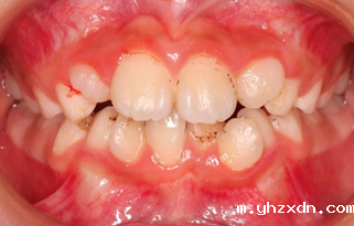
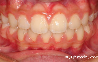
高端牙科诊所案例分享:9岁小朋友 3年治疗,双期联合,主诉:牙列拥挤,空间不足,不想以后拔牙。


本文由bet必威网址口腔科沈美卿医师供稿。
