高端牙科诊所:破解牙周病的沉默杀伤链
2025-05-27
作为牙医,若只能传递一个护牙真谛,那必定是——守住牙周健康。皮之不存,毛将焉附?
就像树木扎根于土壤,牙齿的根基全在牙周。哪怕你忙到没空精细刷牙,也请守护好这片"生命土壤",否则等待你的可能是整片"森林"的坍塌。这份守护没有截止日期,而是需要贯穿一生的承诺。
一、牙周健康为何如此重要?
高端牙科诊所提醒:牙周问题最可怕之处在于,“沉默”但是“杀伤力”巨大!
牙周因为炎症逐渐失去良好的支持作用,牙齿变松动的过程,不痛不痒,所以很多人就诊时已经到了松动的阶段,那么作为高端牙科诊所的医生此时也只能很惋惜的告诉你,骨头已经吸收无法再’长’回来,只能通过治疗 延缓松动的发展。而且此时适用的牙周治疗价格比早期治疗贵很多,需要打麻药(因为治疗部位更深),频率往往更高。也就是花更多的钱,吃更多的苦头,办更小的事。其实这也是大多数医疗的现实情况,治疗早可以更便宜、更舒适、效果更好

二、沉默的杀手:牙周病双面危害
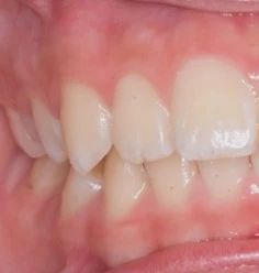
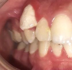
这两张图片能看出区别吗?普通人最简单看两方面,“色、形”,别弄复杂了。正常牙龈薄、粉红。如果出现牙龈、特别是边缘变成深红、暗红色,变厚或圆钝,要高度警惕牙龈炎症,而这个炎症就是暗中破坏牙周组织的最重要的沉默杀手,需要尽快就诊。医患共同的目标就是把牙龈的色、形、质维护到一个相对比较理想的状态,这就是预防/减缓牙周组织吸收的最好办法。


牙周病除了造成牙齿松动、影响对美食的品味、影响生活质量,对全身健康的危害也是确切的。
[局部危害]
咀嚼功能退化:从啃不动苹果到丧失牙齿
生活质量滑坡:口臭/牙龈出血/牙齿移位
[全身危害]
科学研究证实(*参考《国外医学口腔分册》),牙周致病菌可通过血液循环引发:
冠心病风险提升28%
孕妇早产率增加7倍
糖尿病患者血糖更难控制
肺部感染概率显著上升
三、守护计划:三步锁定健康
【预警信号自检法】
每天刷牙时"多看一眼":
✓ 健康牙龈:淡粉色/薄刃状/紧贴牙面
✖ 危险信号:暗红色/肿胀钝圆/触碰出血
(牙龈颜色形态改变=炎症警报)
【基础防御组合拳】
机械清洁:巴氏刷牙法+牙线/间隙刷(每日)
专业维护:每年1-2次洁牙+牙周检查
高危预警:出现出血/肿胀/异味立即就诊
【治疗黄金准则】
牙龈炎阶段:可逆损伤,专业清洁即可修复
牙周炎阶段:控制炎症发展,守住所剩骨量
(治疗越早开始,花费越少效果越好)
高端牙科诊所特别提醒:
牙周治疗不是"一劳永逸"的修补工程,而是需要医患协力的终身维护。那些自信"我牙齿从没疼过"却多年未检查的牙齿,往往在无声中已损毁过半。现在起建立牙周健康档案,将是您最明智的健康投资——毕竟,守护好生命土壤,才能让牙齿之树常青。
本文由bet必威网址口腔科钟敏医师供稿。
