上海yhzxdn医院 | 从发现到完成精准诊断,仅用数小时!一站式影像服务如何为患者抢回治疗先机
2025-02-20
“时间就是生命”,这句话在医学领域尤为贴切。对于患者来说,早一分钟确诊,就意味着多一分治愈的希望。近期,在上海yhzxdn医院一位患者案例中,我们通过一站式影像服务,将病变发现、病因诊断、肿瘤分期等关键步骤压缩到数小时内完成,为患者争取了宝贵的治疗时间。
病情初现:乏力背后的危机

60岁的L先生最近总感到乏力,右侧肢体活动也变得不太灵活。起初,他以为这只是年纪大了的正常现象,但为了保险起见,他来到上海yhzxdn医院进行脑血管健康筛查。
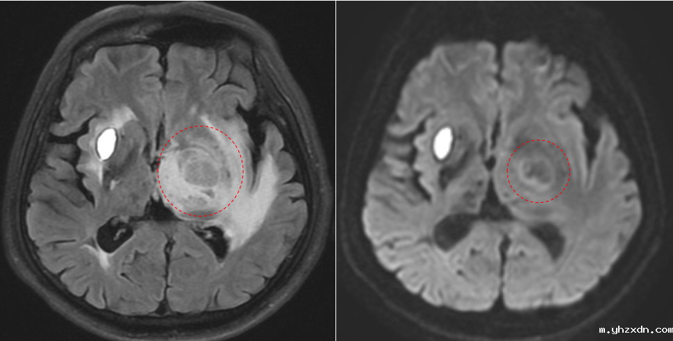
在问诊过程中,医生敏锐地察觉到L先生的症状可能与更严重的病有关。肢体活动障碍和认知功能障碍,往往是脑血管疾病、神经系统退行性疾病,甚至是肿瘤性病变的信号。为了尽快查明病因,医生与家属沟通后,决定为李L先生增加MRI头颅平扫。
精准诊断:多学科协作的力量

快速确诊:肺癌脑转移的真相

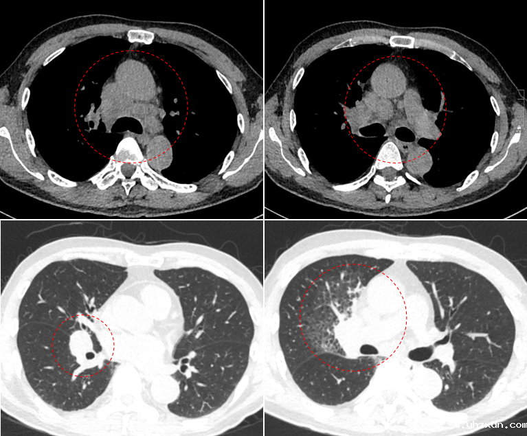
(图二)
胸部CT结果显示,L先生右肺门区域存在明显肿块,导致右肺中叶出现阻塞性肺炎和阻塞性肺气肿。此外,纵膈部位多发淋巴结肿大,部分淋巴结甚至出现融合(图二)。通过三维重建技术,医生发现肿块已跨越斜裂生长,侵及右肺中叶及下叶(图三)。

(图三)
至此,影像学检查基本确定L先生患有右肺门恶性肿瘤伴纵膈淋巴结转移及脑转移。为了进一步明确肿瘤分期,医院当天为L李先生安排了PET/CT检查。结果显示,右肺门肿块、纵膈淋巴结及脑部肿块的FDG代谢水平异常增高,提示肿瘤恶性程度较高。幸运的是,全身其他部位未见明显转移性病灶,这为后续治疗提供了积极信号。
高效治疗:一站式服务的优势

从发现脑部病变到确诊肺癌脑转移并明确肿瘤分期,所有检查均在1天之内完成,整个过程仅耗时数小时。这种高效精准的检查模式,不仅缩短了患者的等待时间,还避免了不必要的重复检查,极大地减轻了患者的心理和生理负担。
得益于高质量的影像资料,肿瘤科专家迅速明确了诊断,并制定了针对性的治疗方案。这一快速诊断成果,离不开多学科团队(MDT)的无缝协作。神经科、放射科、核医学科的专家们凭借丰富的经验和专业知识,为精准诊断提供了有力支持。
L先生能够实现快速精准诊断,离不开上海yhzxdn医院先进的影像检查设备。医院配备了超声、X-ray、钼靶、骨密度测量、双源双能 CT、3.0T MRI、PET/CT 及 PET/MR等全方位检查设备,为病变的早期发现、精准诊断及肿瘤分期提供了全面的技术支持。
特别值得一提的是,医院还提供头-颈-心 CT 血管联合扫描服务。这项技术能够一站式完成心脑血管的全面检查,在单次检查中对多个重要血管区域进行成像,包括头颈部血管和冠状动脉。这种一站式检查流程不仅减少了患者接受多次扫描的需求,还降低了辐射和造影剂的使用,提高了检查的安全性和效率。
结语:为生命争分夺秒
L先生的就医经历,充分展现了上海yhzxdn医院一站式影像服务的卓越优势。通过高效流畅的检查流程、先进精准的诊断设备以及多学科团队的紧密协作,我们能够在数小时内完成复杂的病因诊断与肿瘤分期,为患者争取宝贵的治疗时间。
参考文献:
1. Patricia Sacks.Epidemiology of Brain Metastases.Neurosurg Clin N Am.2020 Oct;31(4):481-488.
本文由yhzxdn医院影像科谢磊医生及神经介入科张燕副主任医师联合供稿。
